
Periodontal Care in Halethorpe
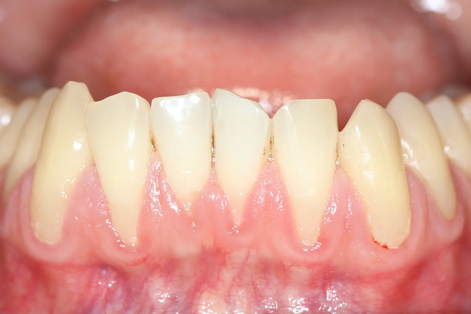
Periodontal care is a dental treatment focused on the prevention, diagnosis, and treatment of gum disease and other conditions affecting the supporting structures of the teeth. In Halethorpe, Dr. James Perkins at Perkins Dental Care provides comprehensive periodontal care tailored to meet the unique needs of each patient. This type of care is crucial as it addresses issues like gingivitis and periodontitis, which, if left untreated, can lead to severe oral health problems, including tooth loss. Dr. Perkins utilizes state-of-the-art technology and techniques to ensure that patients receive the highest quality of care, promoting healthy gums and a beautiful smile.
Why Should I Get Periodontal Care?
Investing in periodontal care is essential for maintaining overall oral health. Gum disease is a common yet serious condition that can progress quietly, often without noticeable symptoms until significant damage has occurred. By seeking periodontal care, you can prevent the progression of gum disease, protect your teeth, and maintain a healthy mouth. Furthermore, research has shown links between periodontal health and systemic conditions such as heart disease and diabetes. By addressing gum health, you are also contributing to your overall well-being. Dr. Perkins is dedicated to helping patients in Halethorpe achieve optimal gum health through personalized care plans.
The Benefits Of Periodontal Care
Prevents Tooth Loss
One of the primary benefits of periodontal care is its ability to prevent tooth loss. By treating and managing gum disease early, Dr. Perkins helps preserve the integrity of your teeth and gums, ensuring a strong foundation for your smile.
Prevents Tooth Loss
One of the primary benefits of periodontal care is its ability to prevent tooth loss. By treating and managing gum disease early, Dr. Perkins helps preserve the integrity of your teeth and gums, ensuring a strong foundation for your smile.
Prevents Tooth Loss
One of the primary benefits of periodontal care is its ability to prevent tooth loss. By treating and managing gum disease early, Dr. Perkins helps preserve the integrity of your teeth and gums, ensuring a strong foundation for your smile.
Improves Overall Health
Periodontal care not only benefits your oral health but also contributes to your overall health. Studies have shown that maintaining healthy gums can reduce the risk of systemic diseases such as heart disease and diabetes, making it an essential part of a holistic health approach.
Improves Overall Health
Periodontal care not only benefits your oral health but also contributes to your overall health. Studies have shown that maintaining healthy gums can reduce the risk of systemic diseases such as heart disease and diabetes, making it an essential part of a holistic health approach.
Improves Overall Health
Periodontal care not only benefits your oral health but also contributes to your overall health. Studies have shown that maintaining healthy gums can reduce the risk of systemic diseases such as heart disease and diabetes, making it an essential part of a holistic health approach.
Enhances Aesthetic Appearance
Healthy gums are the foundation of a beautiful smile. Periodontal care can improve the appearance of your gums, reducing swelling and redness, and restoring a natural, healthy look to your smile. Dr. Perkins is committed to helping you achieve a smile you can be proud of.
Enhances Aesthetic Appearance
Healthy gums are the foundation of a beautiful smile. Periodontal care can improve the appearance of your gums, reducing swelling and redness, and restoring a natural, healthy look to your smile. Dr. Perkins is committed to helping you achieve a smile you can be proud of.
Enhances Aesthetic Appearance
Healthy gums are the foundation of a beautiful smile. Periodontal care can improve the appearance of your gums, reducing swelling and redness, and restoring a natural, healthy look to your smile. Dr. Perkins is committed to helping you achieve a smile you can be proud of.
The Periodontal Care Treatment Process
Step 1
Step 1
Initial Examination and Diagnosis
The first step in periodontal care is a thorough examination and diagnosis. Dr. Perkins will evaluate your gums, teeth, and supporting structures to assess the extent of any periodontal disease. This may include taking X-rays and measuring the depth of periodontal pockets. Based on the findings, Dr. Perkins will develop a personalized treatment plan tailored to your specific needs.

Step 2
Step 2
Scaling and Root Planing
Scaling and root planing is a deep cleaning procedure that removes plaque and tartar from below the gum line. This process is essential for eliminating the bacteria that cause gum disease and smoothing the root surfaces to promote healing and reattachment of the gums. Dr. Perkins performs this procedure with precision and care, ensuring patient comfort throughout the treatment.

Step 3
Step 3
Ongoing Maintenance and Monitoring
After the initial treatment, ongoing maintenance and monitoring are crucial for maintaining periodontal health. Dr. Perkins will schedule regular follow-up appointments to assess your progress and provide additional cleanings or treatments as needed. This proactive approach helps prevent the recurrence of gum disease and ensures long-term oral health.

Frequently Asked Questions
Still have questions? Reach out to us!
What are the signs of periodontal disease?
Common signs include red, swollen, or bleeding gums, persistent bad breath, gum recession, and loose teeth. If you notice any of these symptoms, it’s important to seek professional care promptly.
